ホワイトニングについてご紹介します。
まず、ホワイトニング効果の出やすい歯についてですが、暖色系(赤、オレンジ、黄)の変色であり、生活歯が対象とされています。生活歯とはう蝕などで、神経の治療を行なっていない歯です。
次に方法についてですが、当院ではオフィスホワイトニング(税抜き3万円)を主に行なっています。
オフィスホワイトニングは白くしたい歯に直接、薬剤を塗布し、光を当てて白くする方法です。
照射時間は20分を3回当てさせていただき、術前の写真撮影から術後の写真撮影までで約2時間程、
所要します。
ホワイトニング後、約2時間は着色しやすいため、色の濃い飲食は控えていただきます。
これは歯面にペリクルが形成されるまでであり、この間は知覚過敏の症状も出やすいとされています。
ただ、一過性ですので、24時間以内に症状はなくなります。
ホワイトニングの効果は個人差もありますし、永久的ではありません。
けれど、1回しっかりとホワイトニングをした後、再ホワイトニング(タッチアップ)をすると、
色調は容易に改善されます。また、定期的なメインテナンスはホワイトニング効果を持続させるためにも
とても重要です。
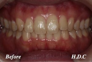
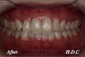
当院でのホワイトニングの治療例です。
1回のオフィスホワイトニングで、数段階歯が明るくなったのがわかります。
ホワイトニングに興味がある方はぜひ、ご相談ください。


