症例一覧
歯周病
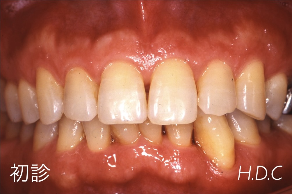
歯周病治療例①
- 年齢・性別
- 30代 女性
- 主訴
- 上の前歯がグラグラする、歯並びが悪くなってきた。
- 診断名
- 重度歯周病(広汎型慢性歯周炎 Stage Ⅲ Grade B)
- 治療内容
- 歯周基本治療後に、エムドゲインを用いた歯周組織再生治療を行いました。
- 治療期間
- 約2年
- 治療費用
- 歯周基本治療;保険診療 歯周外科治療(エムドゲインを用いた再生療法)¥165,000(治療当時)
- リスク
- 歯周組織再生療法時の出血・腫脹・青痣、知覚過敏、歯肉退縮など
歯周病治療例②
- 年齢・性別
- 60代 男性
- 主訴
- 他院で歯周病と言われたので治療したい。
- 診断名
- 重度歯周病(広汎型慢性歯周炎 Stage Ⅲ Grade B)
- 治療内容
- 歯周基本治療後に、エムドゲインを用いた歯周組織再生治療を行い、歯周病の病状安定後、セラミック冠による補綴治療を行いました。
- 治療期間
- 約3年
- 治療費用
- 歯周基本治療、根管治療;保険診療 自由診療分 総額 ¥972,000 歯周外科治療(エムドゲインを用いた再生療法)4箇所 ¥162,000/1回 (治療当時) 補綴治療 ¥324,000 セラミック冠、ファイバーコア2本(治療当時)
- リスク
- 歯周組織再生療法時の出血・腫脹・青痣、知覚過敏、歯肉退縮、歯周病の再発、セラミック冠の破折、脱離など
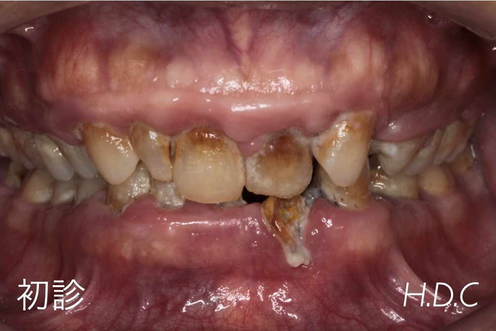
歯周病治療例③
(GTR法による再生治療症例)
- 年齢・性別
- 30代 女性
- 主訴
- 上の前歯がグラグラする。
- 診断名
- 重度歯周病(広汎型慢性歯周炎 Stage Ⅲ Grade B)
- 治療内容
- 他院で抜歯と診断された重度歯周病の上顎前歯に、歯周組織再生治療(GTR法)後、セラミック冠による補綴治療を行いました。
- 治療期間
- 約2年
- 治療費用
- 歯周外科治療(GTR法)保険診療(現在、当院ではGTR法は保険診療では行なっていません)補綴治療 ¥504,000 セラミック冠・ファイバーコア4本(2007年診療時)
- リスク
- 歯周組織再生療法時の出血・腫脹・青痣、歯肉退縮、セラミック冠の破折、脱離など
歯周病治療例④
(エムドゲインによる再生治療症例)
- 年齢・性別
- 30代 女性
- 主訴
- 下の前歯の歯肉が腫れた。
- 診断名
- 重度歯周病(限局型慢性歯周炎 Stage Ⅲ Grade B)
- 治療内容
- 他院で抜歯と診断された重度歯周病の下顎犬歯に、歯周組織再生治療(エムドゲイン、骨移植、GTR膜使用)を行いました。
- 治療期間
- 約6ヶ月
- 治療費用
- 歯周外科治療(エムドゲイン、骨移植、GTR膜使用)¥220,000(2016年診療時)
- リスク
- 歯周組織再生療法時の出血・腫脹・青痣、知覚過敏、歯肉退縮、歯周病の再発など
歯周病治療例⑤
(リグロスによる再生治療症例)
- 年齢・性別
- 30代 女性
- 主訴
- 下の奥歯の歯肉の違和感
- 診断名
- 重度歯周病(広汎型侵襲性歯周炎 Stage Ⅲ Grade C)
- 治療内容
- 重度歯周病の下顎右側臼歯部にリグロスを使用した歯周組織再生治療を行いました。
- 治療期間
- 約2年
- 治療費用
- 歯周外科治療(リグロス使用)
保険診療(※骨移植が必要な場合は自由診療になります) - リスク
- 歯周組織再生療法時の出血・腫脹、青痣、知覚過敏、歯肉退縮、歯周病の再発など
歯周病治療例⑥
(歯肉退縮症例)
- 年齢・性別
- 20代 女性
- 主訴
- 左下の歯肉が下がって見た目が気になる。
- 診断名
- 歯肉退縮(Cairoの分類 typeⅠ)
- 治療内容
- 歯肉退縮部位に上顎から歯肉を採取し、結合組織移植術を行いました。
- 治療期間
- 約3ヶ月
- 治療費用
- ¥88,000
- リスク
- 歯周外科手術時の出血・腫脹・青痣、術後の出血など
歯周病治療例⑦
(長期メインテナンス症例)
- 年齢・性別
- 50代 男性
- 主訴
- 他院で重度の歯周病で抜歯と言われたので診てほしい。
- 診断名
- 重度歯周病(広汎型慢性歯周炎 Stage Ⅲ Grade B)
- 治療内容
- 歯周基本治療後に、GTR膜を用いた歯周組織再生治療(GTR法)を行い、病状安定後に補綴治療を行いました。
- 治療期間
- 約1年半
- 治療費用
- すべて保険診療(現在、当院ではGTR法は保険診療では行なっていません)
- リスク
- 歯周組織再生療法時の出血・腫脹・青痣、知覚過敏、歯肉退縮、歯周病の再発など
歯周病治療例⑧
(歯周基本治療症例)
- 年齢・性別
- 30代 男性
- 主訴
- 歯を磨くと歯肉から血が出るので診てほしい。
- 診断名
- 中等度歯周病(広汎型慢性歯周炎 Stage Ⅱ Grade B)
- 治療内容
- 歯科衛生士による歯周基本治療(ブラッシング指導、スケーリング、SRPなど)を行いました。
- 治療期間
- 約半年
- 治療費用
- すべて保険診療
- リスク
- 知覚過敏、歯肉退縮、歯周病の再発など
歯周病治療例⑨
(歯周基本治療症例)
- 年齢・性別
- 50代 男性
- 主訴
- 歯が欠けたので診てほしい。
- 診断名
- 重度歯周病(広汎型慢性歯周炎 Stage Ⅲ Grade B)
- 治療内容
- 歯科衛生士による歯周基本治療(ブラッシング指導、スケーリング、SRPなど)後、予後不良な歯の抜歯や、根管治療、虫歯治療、欠損補綴(ブリッジ)を行いました。
- 治療期間
- 約1年半
- 治療費用
- すべて保険診療
- リスク
- 知覚過敏、歯肉退縮、歯周病の再発など
インプラント
インプラント治療例①
(奥歯のインプラント)
- 年齢・性別
- 30代 女性
- 主訴
- 下の左右奥歯のむし歯を治したい。
- 診断名
- 左右下顎第一大臼歯う蝕4度
- 治療内容
- 重度う蝕の左右下顎大臼歯を抜歯と同時に抜歯窩保存術後、インプラント治療を行いました。
- 治療期間
- 約1年
- 治療費用
- 総額 ¥1,1165,000 (検査・診断、手術関連処置費用などを含む)
インプラント埋入・上部構造(ジルコニアクラウンモノリシック):¥473,000/1本、抜歯窩保存術(抜歯を含む)¥66,000/1箇所 - リスク
- インプラント手術時の出血、腫脹、青痣、神経麻痺、補綴物の脱落、インプラント体の破折、咬合違和感、インプラント周囲炎など
インプラント治療例②(前歯のインプラント)
- 年齢・性別
- 30代 男性
- 主訴
- 上の前歯を入れたい。
- 診断名
- 上顎右側側切歯欠損
- 治療内容
- 骨造成を行った後に、インプラントを埋入し、ジルコボンドクラウンにて補綴治療を行いました。
- 治療期間
- 約1年半
- 治療費用
- 総額 ¥651,000 (2013年診療時)
インプラント埋入・上部構造(ジルコニアアバットメント、ジルコボンドクラウン):¥493,500/1本、骨造成:¥136,500 - リスク
- インプラント手術時の出血、腫脹、青痣、神経麻痺、補綴物の脱落、インプラント体の破折、咬合違和感、インプラント周囲炎など
インプラント治療例③(奥歯のインプラント)
- 年齢・性別
- 30代 女性
- 主訴
- 乳歯が抜けた、インプラント治療希望。
- 診断名
- 下顎右側第二小臼歯先天欠損
- 治療内容
- 右下の乳歯が抜けたことで来院。下顎右側第二小臼歯が先天的に欠損しており、歯の欠損 部位にインプラント治療を行いました。
- 治療期間
- 約4ヶ月
- 治療費用
- 総額 ¥506,000(検査・診断、手術関連処置費用などを含む)
インプラント埋入・上部構造(ジルコニアクラウンモノリシック):¥473,000/1本 - リスク
- インプラント手術時の出血、腫脹、青痣、神経麻痺、補綴物の脱落、インプラント体の破折、 伵合違和感、インプラント周囲炎など
インプラント治療例④(奥歯のインプラント)
- 年齢・性別
- 70代 女性
- 主訴
- インプラント治療希望。
- 診断名
- 上顎左側第一小臼歯欠損、軽度歯周病(広汎型慢性歯周炎 Stage Ⅰ Grade A)
- 治療内容
- 歯周基本治療後、歯の欠損部位にインプラント埋入と同時に小規模な骨造成を行い、ジルコニアクラウンにてインプラント補綴を行いました。
- 治療期間
- 約8ヶ月
- 治療費用
- 総額 ¥572,000(検査・診断、手術関連処置費用などを含む)
インプラント埋入・上部構造(ジルコニアクラウンモノリシック):¥473,000/1本、骨造成(GBR):¥66,000 - リスク
- インプラント手術時の出血、腫脹、青痣、神経麻痺、補綴物の脱落、インプラント体の破折、伵合違和感、インプラント周囲炎など
インプラント治療例⑤(前歯のインプラント)
- 年齢・性別
- 30代 女性
- 主訴
- インプラント治療希望。
- 診断名
- 上顎左側側切歯欠損
- 治療内容
- まず初めに、骨造成(GBR)を行った後にインプラントを埋入しました。歯肉が薄かったため、厚みを得るために結合組織移植術(CTG)を行い、ジルコボンドクラウンにて補綴治療を行いました。
- 治療期間
- 約1年半
- 治療費用
- 総額 ¥745,200(2015年診療時)
インプラント埋入・上部構造(ジルコニアアバットメント、ジルコボンドクラウン):¥507,600/1本、骨造成:¥140,400、結合組織移植術:¥75,600 - リスク
- インプラント手術時の出血、腫脹、青痣、神経麻痺、補綴物の脱落、インプラント体の破折、伵合違和感、インプラント周囲炎など
審美治療
審美治療例①
- 年齢・性別
- 50代 女性
- 主訴
- 左上の奥歯を白くしたい。
- 診断名
- 上顎左側第一大臼歯二次う蝕、根尖性歯周炎
- 治療内容
- 根管治療後、ジルコニアクラウン(モノリシック)にて補綴治療を行いました。
- 治療期間
- 約半年
- 治療費用
- 根管治療:保険診療
補綴治療:¥154,000 ファイバーコア、ジルコニアクラウン(モノリシック) - リスク
- 根尖性歯周炎の再発、二次う蝕、歯根破折、ジルコニアクラウンの脱離など
審美治療例②
(ホワイトニング)
- 年齢・性別
- 30代 女性
- 主訴
- 歯を白くしたい。
- 診断名
- 歯の黄ばみ
- 治療内容
- ホワイトニング剤とホワイトニング専用照射機を用いて、オフィスホワイトニング (クリニックで行うホワイトニング)を行いました。
- 治療期間
- 1回
- 治療費用
- ¥33,000
- リスク
- 知覚過敏、色の後戻りなど
根管治療
根管治療例①
- 年齢・性別
- 50代 男性
- 主訴
- 左上の奥歯が痛い
- 診断名
- 根尖性歯周炎
- 治療内容
- 根管治療後、CAD/CAM冠にて補綴治療を行いました。
- 治療期間
- 約3ヶ月
- 治療費用
- 保険診療
- リスク
- 根尖性歯周炎の再発、歯根破折、CAD/CAM冠の破折など
根管治療例②
- 年齢・性別
- 20代 男性
- 主訴
- 左上の奥歯の違和感。
- 診断名
- 根尖性歯周炎
- 治療内容
- 根管治療後、CAD/CAMインレーにて修復治療を行いました。
- 治療期間
- 約3ヶ月
- 治療費用
- 保険診療
- リスク
- 根尖性歯周炎の再発、歯根破折、CAD/CAMインレーの破折など
根管治療例③
- 年齢・性別
- 30代 男性
- 主訴
- 右上の前歯の歯肉が腫れた。
- 診断名
- 根尖性歯周炎
- 治療内容
- 根管治療後、コンポジットレジンにて修復治療を行いました。
- 治療期間
- 約3ヶ月
- 治療費用
- 保険診療
- リスク
- 根尖性歯周炎の再発、歯根破折、コンポジットレジンの破折など
義歯
義歯治療例①
- 年齢・性別
- 50代 女性
- 主訴
- 奥歯がグラグラして噛みにくい。
- 診断名
- 重度歯周病(広汎型慢性歯周炎 Stage Ⅲ Grade B)
- 治療内容
- 重度歯周病の歯を抜歯後、義歯(ノンクラスプ義歯)を作製しました。
- 治療期間
- 約半年
- 治療費用
- ¥154,000
- リスク
- 義歯の破折、変形など(金属床の義歯に比べて耐久性に劣る)
